
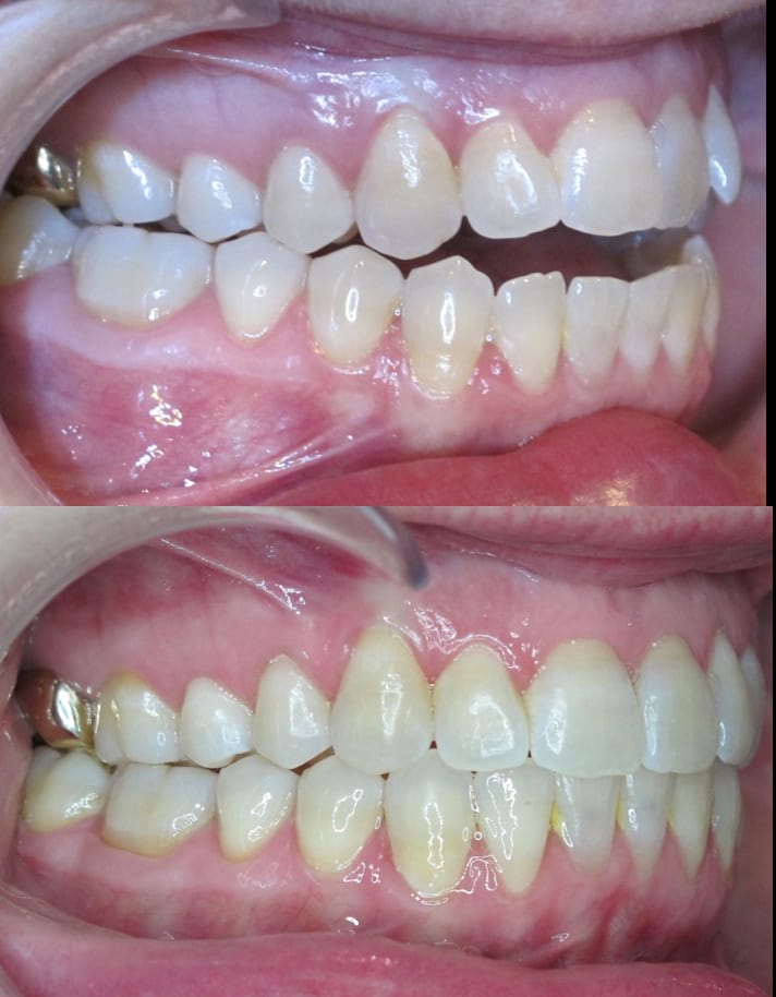
Case Study 37 – Open Bite
Treatment was with braces in the Damon System customized with Insignia. Her treatment was to close her open bite. Total treatment time was about 12 months with braces and elastics but was without removal of any teeth and was without a palatal expander.